Crown and Bridge
A crown also referred as a cap, is a dental restoration that covers the entire tooth, replacing its outer layer of enamel with a new material. A crown is contoured and sized similarly to a natural tooth. They come into contact with the opposite tooth in a normal so that food can be chewed properly. In general, a crown should feel like a regular tooth when it comes to function. Depending on the material chosen for the crown, it also can look like a perfectly natural tooth.
There are multiple reasons where a crown could be needed:
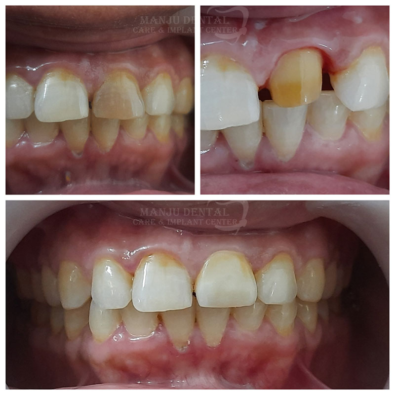
- When a tooth has a root canal, the nerve and blood vessels are removed from the hollow chamber inside the tooth. This means there is no longer any nourishment to the tooth, and it quickly becomes dried out and brittle. This brittleness predisposes the tooth to cracking, So a root canal treated tooth should be covered with crowns to prevent their breakage.
- Teeth that have large decay which has destroyed its enamel and dentin and have been restored more than half by filling material should be crowned.
- Crown helps to improve the aesthetics of tooth with bad aesthetics.
- A crown can restore function of teeth that are severely attrited.
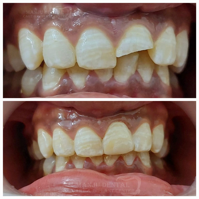
- A fractured tooth can be restored with a crown.
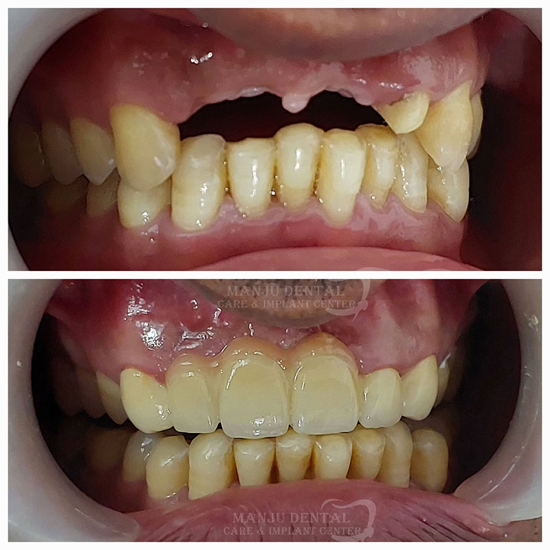
- Teeth with ample spaces between them resulting in food lodgment or unpleasant appearance can be crowned.
Our Gallery
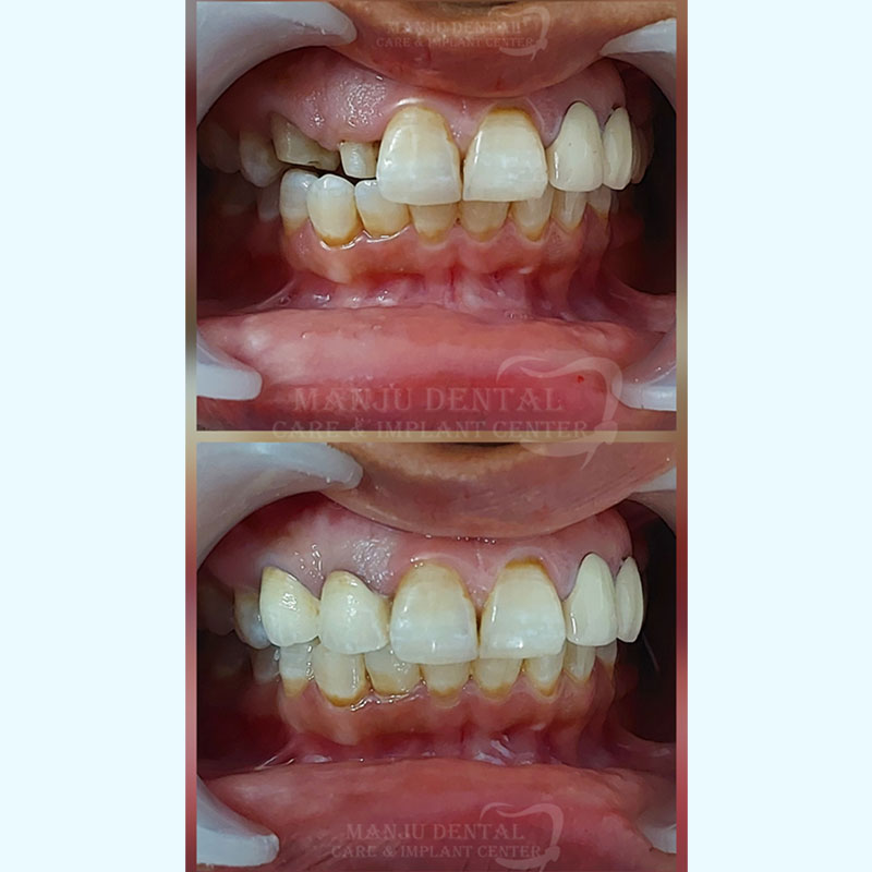
Anterior Region Rehabilitated with Esthetic Crown and Bridge
Layered Zirconia Crown For Enhanced Esthetics
Biomimetic Anterior Crown
PFM Crown Placement For Enhanced Aesthetics and Crossbite Correction
Dental Bridge
A bridge is a dental treatment that uses multiple crowns connected together in order to replace a missing tooth. At the minimum, a bridge includes two crowns on either side of a missing tooth to be replaced called a pontic. Bridges are classified according to the number of units, which just means the number of teeth they cover. The most common is a three-unit bridge, which uses two teeth as anchors for one replacement tooth.
The materials of a bridge are the same as those available for crowns. Because a bridge uses connections between teeth, it requires some changes to your oral hygiene routine in order to keep the anchor teeth healthy. A bridge is a relatively quick way to replace a missing tooth, requiring only a few weeks of lab time. Bridges are permanently cemented onto the anchor teeth; they are not removable by the patient. A bridge is an alternative tooth replacement option to a dental implant.
Crown and bridges can be made from a variety of different materials, depending on their purpose. For example, if the aim is improving the appearance of a smile, then a material will be chosen which can make the crown or bridge look natural such as porcelain or ceramic.
Strength is another important feature of a crown or bridge. Often, the material chosen will combine both strength and aesthetics.
Material used for Crowns/Bridges: –
- All metal
- Porcelain fused to metal (tooth coloured)
- All porcelain (metal free)
- Zirconium based (metal free)
- Precious metal
Advantages of Replacing Missing Teeth:
- Helps to restore and maintain the natural bite.
- Prevents unnatural stress on other teeth.
- Helps in keeping opposing teeth in their proper place.
- Prevents shifting and tilting of adjacent teeth.
- Maximizes your smile, speech and chewing function.