Restorative Dentistry

Restorative dentistry refers to any dental procedure that repairs or replaces a tooth. There can be two main goals in restorative dentistry: to restore the function of the teeth and to restore the appearance of the teeth. In some cases it’s one or the other, and in some cases it’s both.

Quite a few dental procedures fall under the category of restorative dentistry, such as:

Cavity filling: – This is by far the most common restorative dental procedure. When bacteria burrow into the enamel (the hard outer layer) of tooth and create a hole (known as a cavity) it needs to be restored to protect the soft pulp inside. In a cavity filling procedure, the damaged part of the tooth is removed and and cavity is filled with the material that is the same colour as our tooth. A tooth coloured restoration restores tooth back to health, making it look as natural as before and will prevent the bacteria from continuing to infect the tooth. Restorative dental procedures have many benefits, which is why they are some of the most commonly performed procedures by dentists.

Crown and Bridge: – To restore the function of a missing teeth and to maintain the occlusal stability, crowns and bridges are given .Crowns are given where there is fractured tooth or any root canal treated teeth or any type of enamel defect where crowns are necessary. Bridges restore the function of missing teeth with the support of adjacent healthy tooth.

Implant- Implant is a surgical procedure that restores the missing teeth with the support of the underlying bone .They provide support for artificial (fake) teeth, such as crowns, bridges, or dentures.

Our Gallery

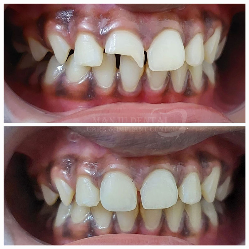
Smile Enhancement Through Non-Invasive Anterior Composite

Transforming Hopeless Teeth Into Hopeful Smile

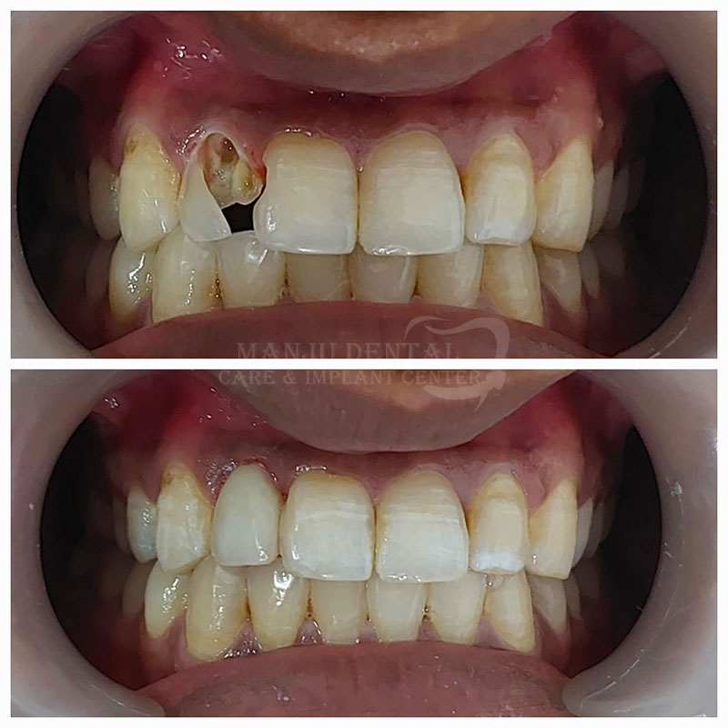
Restoring Esthetics by Anterior Composite Build Up

Restoring Tooth without Crown Through Direct Composite Build-Up

The Aim of Restorative Dentistry are:-

  1. To Restore function-The main advantage of restorative procedures is to restore the function of teeth. You can eat and talk with relative ease when y
  2. To Eliminate pain and sensitivity : when there is a deep cavity patient may experience sensitivity and pain due to food impaction. Restorative procedures eliminate that pain by correcting the problem.
  3. To Improve appearance-Restorative procedures gives your teeth a esthetic look so that you can smile with confidence.
  4. To Prevent further dental issues- Correcting a dental issue as soon as it is detected can prevent it from getting worse or causing more dental issues. When a decayed tooth is filled as soon as it is noticed, it can prevent it from leading to a root canal and periapical infection.. A cavity that is ignored for too long can result in a tooth that can’t be saved and it may need extraction or root canal treatment.
  5. To Preserve jaw bone density- Replacing a missing tooth with an implant preserves the bone density of the jaw. If a tooth is missing, the bone that once held it in place will eventually start resorption. In order to replace the missing tooth with an implant, a bone graft procedure may be required. It is best to replace a missing or unviable tooth right away to avoid bone loss.

The recovery time for restorative dentistry depends on the type of procedure and the number of teeth that needs treatment. Some procedures won’t take more than a few hr to few days. Some procedures may even have little to no recovery time.

Restorative dentistry is one of the most common services we provide. Most people will need some type of restorative procedure at some point in their lifetime. We believe in saving your teeth whenever possible and replacing them when necessary. By keeping up with your regularly scheduled appointments every 6 months we can carefully monitor your dental health. Best case scenario, we prevent the need for any restorative procedures. Next best case scenario, we detect any problems as soon as possible so that they can be corrected.