Esthetic and Cosmetic Dentistry

Esthetic dentistry is art and science of dentistry which works to create a beautiful smile within biological and functional limits, mainly composed of three constituents: white aesthetics (concerning the teeth), pink aesthetics (concerning the gingiva) and facial aesthetics (concerning extra-oral features, predominantly the lips). Aesthetic dental treatment ranges from tooth whitening (bleaching), microabrasion, depigmentation, gum recontouring, direct composite fillings, indirect veneers and laminates, crowns and bridges to complex implant treatment.

Cosmetic dentistry comes under dental aesthetics and mainly deals with minor changes in colour, shape, size and position of the teeth. But it may not necessarily function ideally and may not simulate ideal conditions of dentition. Cosmetic dentistry might be helpful in improving esthetic if patients has Chipped or cracked teeth, Small gaps or spaces between teeth or has tooth discoloration and staining, patients have malaligned or misshape teeth. Smile makeover takes into consideration the tooth colour, tooth size, tooth shape, tooth position, lip position, lip length, gum position, and gum colour. The change of one’s smile involves re-alignment or change of shape ,size or colour of teeth, so that the teeth fulfills the requirements of a beautiful smile.

Tooth-coloured aesthetic fillings are used to either fill minor gaps between teeth or fill decayed parts of front teeth. Bleaching is done to change the colour of the teeth. .Veneering is done to change the colour, shape and size of teeth .Our office provides aesthetic treatments that include tooth whitening, aesthetic recontouring, composite veneers, and a wide variety of all ceramic veneer and crown types. All these technologies and materials make it possible for us to duplicate the visual qualities of natural teeth with incredible accuracy and realism.

Our Gallery

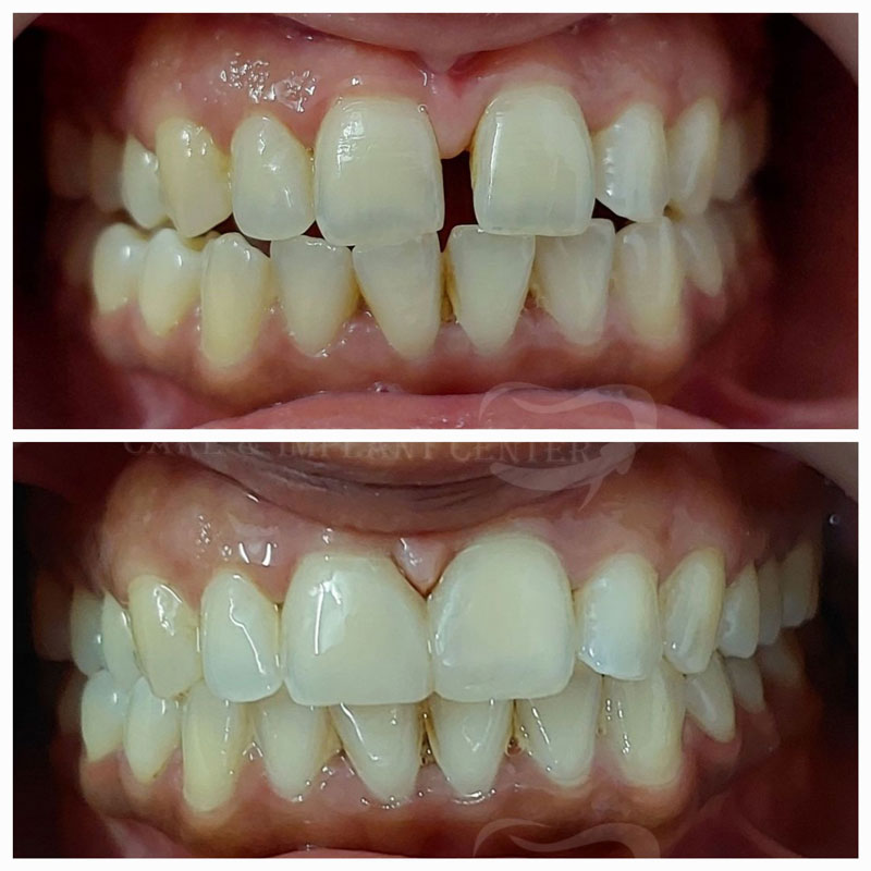
Smile Correction Achieved Through Anterior Aesthetic Build-Up

Reshaping peg Lateral to restore natural Tooth Proportion and Symmetry

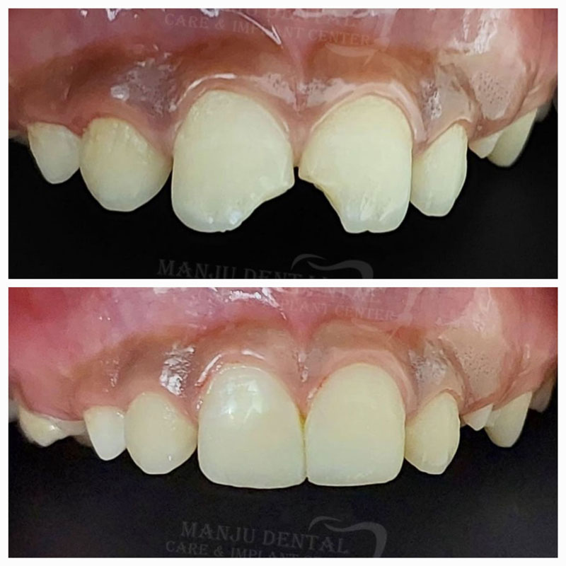
From Space To Symmetry Composite Artistry For A Perfect Smile

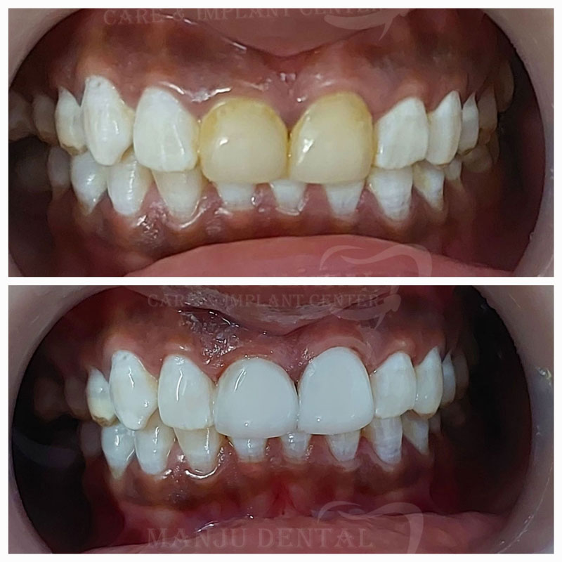
Composite Veneer For a Confident Smile

There are several material types currently available which differ in important qualities such as translucency (how clear or opaque they are), colour or shade, stability, strength and durability, biocompatibility (how they interact with the gums, teeth, and other tissues of the mouth), cost, and the amount of tooth structure remaining to apply different procedures on them. These differences are important because every patient’s wants and needs are unique. Therefore, the best choice of aesthetic material and treatment type is a highly individual matter and varies from patient to patient and even from tooth to tooth for any one patient. Ultimately this choice should depend upon the patient’s visual appearance requirements and biomechanical considerations of comfort, health, and durability. Whatever the choice, we believe that achieving all these objectives should be the goal of anyone wanting to change the appearance of their smile.