Endodontics

A root canal (also known as an endodontic treatment) is most common procedure which is done in a decayed tooth where the cavity has reached the pulp chamber containing nerves and blood vessels. The nerves of such teeth become inflamed which leads to severe pain. It may also lead to swelling, if left untreated. This treatment saves the natural tooth from extraction. In this procedure, inflamed or infected pulp from the pulp chamber and canals is removed which is then carefully cleaned and disinfected, then filled and sealed. Root canal treatment is done to eliminate bacteria from the infected root canal thus preventing reinfection and save the natural tooth. A fully developed tooth can survive without the pulp because the tooth continues to be nourished by the tissues surrounding it.

A root canal is a very simple, effective and painless procedure to treat a damaged or diseased tooth which can be completed in a single or few appointments depending upon the condition of the tooth. Millions of teeth are treated and saved every year to make teeth painless and functional. You’ll be back to smiling, biting and chewing with ease in no time.

Saving the natural teeth with root canal treatment has many advantages:

  • Efficient chewing
  • Normal biting force
  • Natural appearance
  • Protects other teeth from excessive wear or strain
    Before engaging in any type of dental treatment, it’s important to know the facts about the root canal treatment.

Before engaging in any type of dental treatment, it’s important to know the facts about the root canal treatment.

Our Gallery

8 Years Successful Outcome Of Endodontically Managed Two Canalled Lower Anterior

Nonsurgical Management of Large Periapical Lesion

2 Years Follow Up of Endodontically Managed Periapical Lesion With RCT and Crown

Hopeless Teeth Restored With Endodontic Treatment

Is Root Canal Treatment Painful ?

A root canal isn’t painful as this is performed under local  anaesthesia. It is very much similar to routine dental procedures, such as a filling or getting a wisdom tooth removed. Sometimes patients may have mild discomfort after procedure but that can be taken care with some analgesics.

When Do We Need A Root Canal Treatment ?

Patients generally need a root canal when they have severe and continuous pain, tooth becomes sensitive, particularly to hot and cold sensations. Sometimes patients may have associated intraoral or extraoral swelling. Endodontic treatment is necessary when the pulp, the soft tissue inside the root canal becomes inflamed or infected. The inflammation or infection can have a variety of causes: deep decay in the tooth or there is an injury to a tooth that may cause pulpal damage even if the tooth has no visible cracks. If pulp inflammation or infection is left untreated it may lead to abscess formation and swelling.

There are a Few Symptoms that may lead to a Root Canal Treatment: -

  • Severe and continuous pain in chewing or biting
  • A chipped or cracked tooth
  • Lingering sensitivity to hot or cold, even after the sensation has been removed
  • Swollen or tender gums
  • Deep dentinal decay
  • Discoloured tooth due to trauma

A root canal treatment entails removing the infected soft tissue within the tooth and replacing it with an artificial inert ‘filling’ material. This procedure not only saves the tooth but also eliminates dental pain.

Detailed Steps in Root Canal Treatment :-

Endodontic treatment can often be performed in one or two visits and involves the following steps:

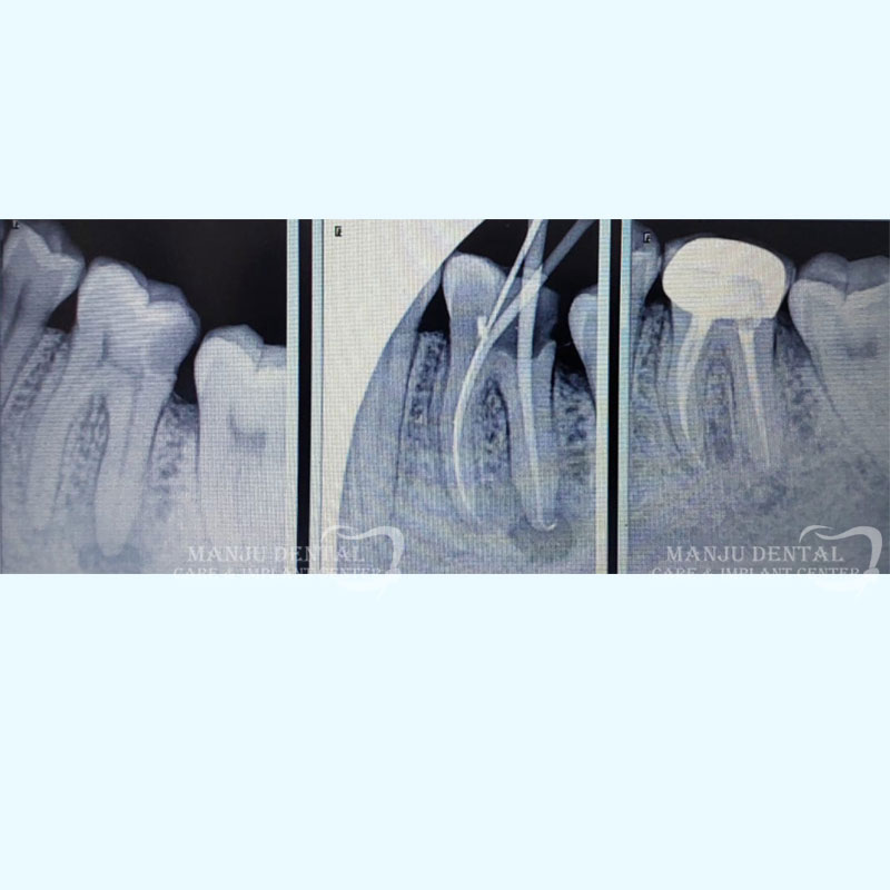
  1.  After clinically examining the tooth, a radiograph is done using x-rays and  local anaesthesia is administered to make tooth numb. An assess opening is done to enter pulp chamber and very small instruments are used to clean the pulp from the chamber and root canals of the tooth.
  2. After the space is cleaned and shaped, the root canals are filled with a biocompatible material called gutta-percha. The gutta-percha is placed with a endodontic sealer to ensure complete 3D obturation of the root canal system. After obturation a permanent restoration is done to completely seal the tooth.
  3. After the final visit a crown or other restoration is placed on the tooth to protect and restore it to full function.

If the tooth lacks sufficient structure to hold the restoration in place, a post may be needed inside the tooth and post and core procedure is done to give strength to the remaining tooth structure.

Advantages of Root Canal Treatment:

Saving the natural tooth is always a wise choice. Endodontic treatment are virtually pain free due to modern techniques and effective anaesthesia. it helps to maintain natural smile and function. With proper care, most teeth that had root canal treatment can last a lifetime.

Regular brushing and flossing, along with six-month check-ups can help you keep your teeth for a lifetime. Don’t get a tooth pulled because you think its easier or more cost-effective. Missing teeth can cause other teeth to shift, affect your ability to properly chew and ruin your smile. Tooth extraction often is more painful than the infection itself, and replacing an extracted tooth with an artificial one requires additional dental visits that can quickly add up, thus it is efficient and cost effective. It’s always best to retain your natural teeth whenever possible and endodontic treatment should be the first choice for the best health and cosmetic results.