Oral Surgical Procedures

Oral surgery is a broad term for any operation performed on teeth, gums, jaw or surrounding oral and facial structures. It includes a wide range of procedures, including teeth extractions, dental bone grafts, periodontal (gum) grafts and corrective jaw surgery.

Treatment Including In Minor Oral Surgical Procedure

  • Extensive tooth decay.
  • Badly broken teeth.
  • Impacted teeth
  • Missing teeth
  • Bone loss in jaw.
  • Sleep apnea.
  • Temporomandibular joint disorders
  • Benign oral pathology (noncancerous lumps or bumps)
  • Root amputation and dental hemisection.
  • Apicoectomy
  • Crown lengthening procedures
  • Dental implants

Tooth Extraction:

If a tooth is damaged beyond repair and cannot be saved by any other dental treatment it may need to be extracted. Teeth may also need to be extracted prior to orthodontic treatment in order create space to straighten teeth.

Wisdom teeth removal:

If a wisdom tooth has grown into the wrong place and is causing problems such as pain, difficulty in cleaning, improper eruption or impaction the tooth may need to be surgically removed. This may involve making an incision into the gums to gain better access to remove the tooth.

Apicectomy:

This is a surgical procedure to place a filling at the end of a root filled tooth root to remove any infection and promote healing in the tooth and surrounding tissues.

Our Gallery

Surgical Extraction of Impacted Lower Wisdom Tooth

Surgical Extraction of Grossly Carious Molars

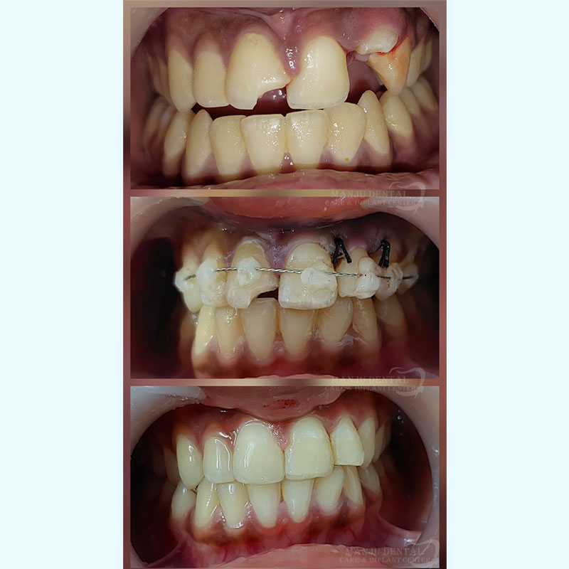
Comprehensive Dental Trauma Management

Extraction Of Labially Placed Canine

Root amputation and hemisection.

A root amputation requires the surgical removal of one root if a tooth is multi-rooted. If one or more tooth roots become infected or there is significant bone loss around the tooth hemisection is done. During the procedure half of the tooth is removed leaving a serviceable one-rooted tooth.

Sleep apnea surgery

Obstructive sleep apnea (OSA) occurs when the tissues in the back of throat fall back and block airway during sleep. Sometimes OSA is successfully treated with conservative methods, such as oral appliance therapy or using a CPAP machine. However, severe cases may require surgical intervention.