Paediatric Dentistry

Paediatric dentistry is a specialty focused on diagnosing and treating children’s dental issues and helps children in achieving and maintaining good oral health. A paediatric dentist works with children starting from infancy through young adulthood and address issues with the mouth and jaw.

The most significant difference between pediatric and adult dentistry is the need for dentists treating children to understand and practice sound psychological principles to allow children to have positive, relatively pain-free experiences in this important health area. Bad memories of traumatic dental therapy during childhood can influence children negatively and make them reject adequate dental care for life.
Children usually begin getting primary teeth around six to eight months of age and should visit the paediatric dentist within six months of the first tooth or by the age of one, whichever comes first.

Role of a Paediatric Dentist Is To:

  • Diagnose and treat oral disease (preventive and restorative)
  • Interpret x-rays and other diagnostic tests
  • Formulate treatment plans to restore oral health of pediatric patients including healthy one and those with special health care needs
  • Monitor growth and development of all teeth and jaws
  • Treat dental malocclusion interceptive orthodontic treatment and/or orthodontics
  • Perform surgical procedures on teeth, bone, and soft tissues of the oral cavity
  • Provide emergency care (dental infection, pain, and dental trauma)
  • Treat paediatric patients under different levels of sedation (minimal, moderate, or deep) and general anaesthesia.
  • Pit and fissure sealant application
  • Fluoride application
  • Natal and neonatal tooth extraction
  • Give Space maintainers

Early Intervention For Neonatal Tooth to Avoid Aspiration And Ensure Smooth Feeding and Oral Health

Space Maintainer Guiding Eruption For a Perfect Future Smile

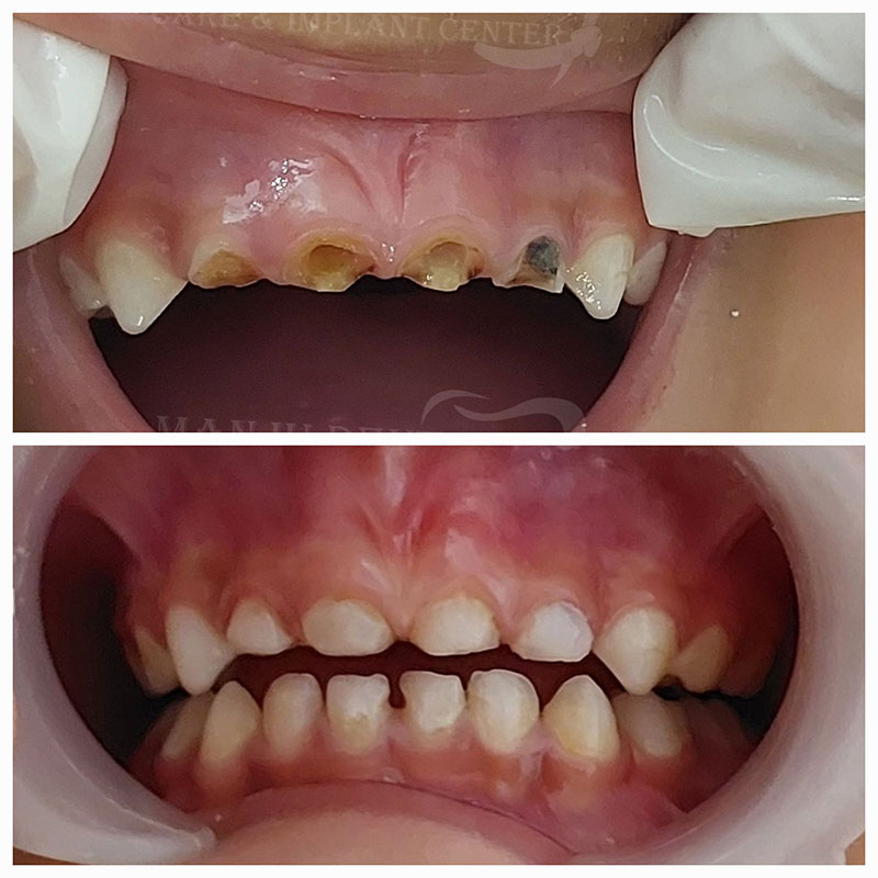
Little Smile Restored With Anterior Composite Build-Up

Pulpectomy of Primary Teeth Keeping It Strong Till Its Time To Go