Our Gallery

A Flawless Transformation From Ordinary To Outstanding With Customised Ceramic Veneers

Smile Correction Achieved Through Anterior Aesthetic Build-Up

8 Years Successful Outcome Of Endodontically Managed Two Canalled Lower Anterior

Anterior Region Rehabilitated With Esthetic Crown and Bridge

Surgical Extraction of Impacted Lower Wisdom Tooth

Early Intervention For Neonatal Tooth to Avoid Aspiration And Ensure Smooth Feeding and Oral Health

Smile Enhancement Through Non-Invasive Anterior Composite

Dental Implant The Gold Standard For Tooth Replacement

Aligning Teeth Balancing Bites Orthodontics at Its Best

Rehabilitation of Edentulous Arches With Complete Denture

Dental Bleaching For Enhanced Esthetics and Brighter Smile

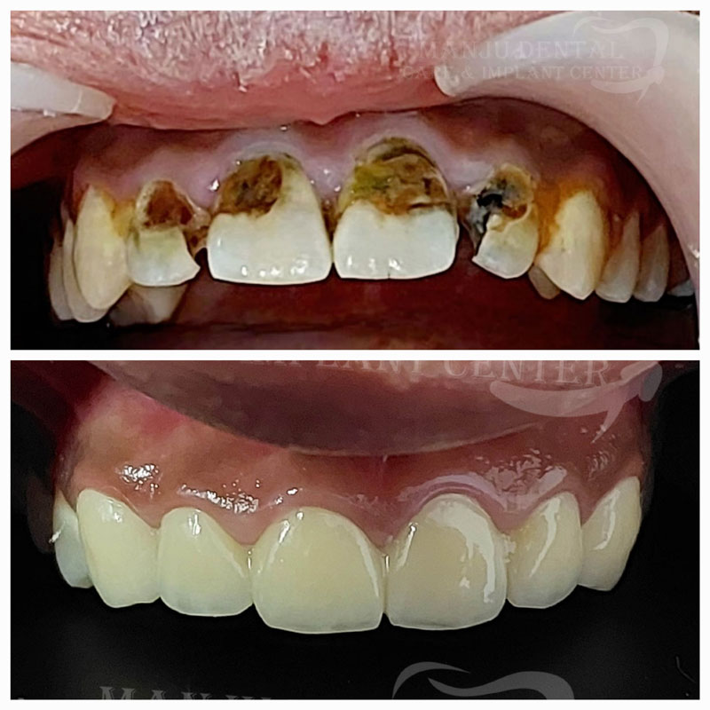
Comprehensive Oral Rehabilitation with Full Mouth Reconstruction

From Space To Symmetry Composite Artistry For a Perfect Smile

2 Years Follow Up of Endodontically Managed Periapical Lesion With RCT And Crown

Biomimetic Anterior Crown

Comprehensive Dental Trauma Management

Little Smile Restored With Anterior Composite Build-Up

Restoring Esthetics By Anterior Composite Build Up

Full Spectrum Dental Care Extraction of Non Restorable Tooth, Implant Placement and Re-Rct of Adjacent Tooth

Habit Interception Therapy Managing Tongue Thrusting Effectively

Fixed Partial Denture A Conservative Approach For Tooth Replacement

Oral Prophylaxis For a Healthy Smile

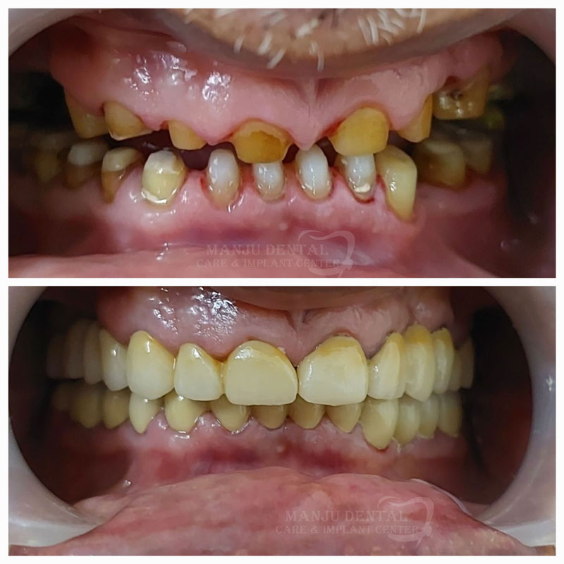
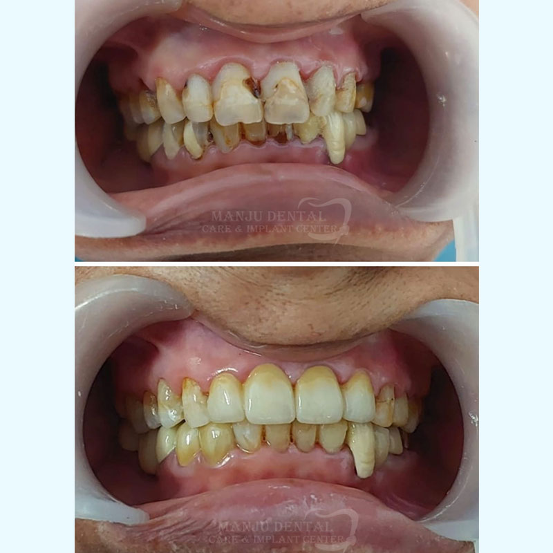
Full Mouth Rehabilitation in a Senior Citizen

Reshaping Peg Lateral To Restore Natural Tooth Proportion and Symmetry

Nonsurgical Management Of Large Periapical Lesion

Layered Zirconia Crown For Enhanced Esthetics

Surgical Extraction of Grossly Carious Molars

Space Maintainer Guiding Eruption For a Perfect Future Smile

Transforming Hopeless Teeth Into Hopeful Smile

Osteointegrated Implant Achieving Perfect Function And Form

Functional Space Management of Lost Central Incisor By Cosmetic Transformation of Lateral Incisor to Central Incisor

Restoring Smile, Dignity And Comfort In A Senior Citizen

Plaque and Calculus Removal for the Foundation Of Oral Health

Upper Anterior Rehabilitation in a Special Child With Rct And Layered Zirconia Crowns

Composite Veneer For a Confident Smile

Hopeless Teeth Restored With Endodontic Treatment

PFM Crown Placement For Enhanced Aesthetics and Crossbite Correction

Extraction of Labially Placed Canine

Pulpectomy of Primary Teeth Keeping It Strong Till Its Time To Go

Restoring Tooth Without Crown Through Direct Composite Build-Up

Precise Implant Placement For Long Term Stability And Natural Esthetics

Cross Bite Correction With Anterior Guide Plane

Precision Crafted FPD For Restoring Anterior Segment

Professional Cleaning For Healthier Gums