Orthodontics

The specialty of orthodontics relates to facial and occlusal development and involves the supervision, interception and correction of occlusal and dentofacial anomalies known as malocclusion.

Malocclusion is a term which refers to malalignment of teeth and incorrect relationship between the upper and lower arches. Malocclusion is not a disease and it does not affect physical health. It is a variation in the position of teeth. However, it may impact the shape of the face and the appearance of the teeth, resulting in embarrassment, a lack of self-confidence, and even depression. Orthodontic treatment is a way of straightening or moving teeth, to improve the appearance of the teeth and how they work. It can also help to look after the long-term health of teeth, gums and jaw joints, by spreading the biting pressure over all your teeth.

Orthodontic treatment will straighten the teeth or move them into a better position when one have crowded or crooked teeth. This can improve their appearance and the way the teeth bite together, while also making them easier to clean.
Some people have upper front teeth that stick out and look unsightly. These ‘prominent’ teeth are more likely to be damaged, but orthodontic treatment can move them back into line. Similarly when upper and lower jaws meet in an incorrect position, it can cause teeth to look unsightly and can put strain on the muscles of the jaw, causing jaw and joint problems and sometimes headaches. Orthodontic treatment can help you to bite more evenly and reduce the strain.

The best time to get an orthodontic treatment is generally during childhood, but adults can have orthodontic treatment too – and more and more are doing so. Age is less important than having the right alignment of teeth. In children it may sometime be necessary to wait for enough teeth to come through before starting treatment.

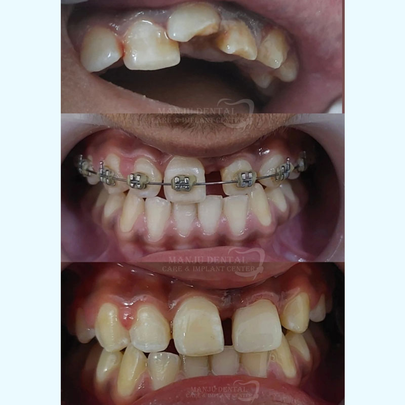
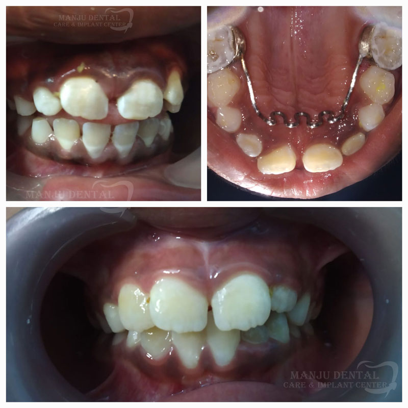
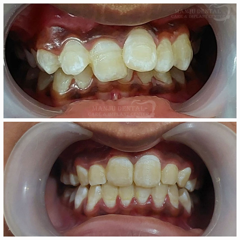
Our Gallery

Aligning Teeth Balancing Bites Orthodontics at Its Best

Functional Space Management of Lost Central Incisor By Cosmetic Transformation of Lateral Incisor to Central Incisor

Habit Interception Therapy Managing Tongue Thrusting Effectively

Cross Bite Correction With Anterior Guide Plane

Orthodontic treatment can help treat or improve the following:

  1. Protruding front teeth: Treatment can improve the appearance and protects the teeth from damage during sports injuries or falls.
  2. Crowding: In a narrow jaw, there may not be enough space for all the teeth. The orthodontist may remove one or more teeth to make room for the others for realignment of teeth.
  3. Impacted teeth: This can happen when adult tooth does not emerge from the gum or bone, or only emerges partially.
  4. Asymmetrical teeth: The upper and lower teeth do not match, especially when the mouth is closed and when the teeth are showing.
  5. Deep bite, or overbite: When the teeth are clenched, the upper ones come down too far over the lower ones.
  6. Reverse bite: When the teeth are clenched, the upper teeth bite inside the lower ones.
  7. Open bite: When the teeth are clenched, there is an opening between the upper and lower front teeth.
  8. Underbite: The upper teeth are too far back, or the lower teeth are too far forward.
  9. Crossbite: At least one of the upper teeth does not come down slightly in front of the lower teeth when the teeth are clenched. They are too near the cheek or the tongue.
  10. Spacing: There are gaps or spaces between the teeth, either because a tooth is missing, or the teeth do not fill-up the mouth. This is the opposite of crowding.
  11. An orthodontist can also help solve problems such as the grinding or clenching of teeth and clicking or moving of the jaw.

An orthodontist can carry out work that aims to achieve the following:

  • closing wide gaps between the teeth
  • aligning the tips of the teeth
  • straightening crooked teeth
  • improving speech or chewing ability
  • boosting the long-term health of gums and teeth
  • preventing long-term excessive wear or trauma of the teeth
  • treating an improper bite

Treatment can improve the appearance of the teeth, but it can also lead to better chewing and speech function and help protect teeth from damage or decay, in some cases.To achieve these goals, the orthodontist uses a range of medical dental devices, including headgear, plates, and braces.

Devices

Orthodontic devices can be fixed or removable.

Fixed Appliances

These are the most common devices used in orthodontics. They are used when precision is important.A person can eat normally with fixed appliances, but some foods and drinks need to be avoided, such as carbonated drinks, hard candy, gum, and other sticky foods.People who participate in contact sports need to tell their orthodontist, as they may need special gum shields.

Examples of fixed orthodontic appliances include:

  • Braces
  • Fixed-space maintainers

Braces

These can be metal, ceramic (tooth colored) and lingual system

These consist of brackets, wires, and molar bands. Both clear and colored braces are available. Bands are fixed firmly around the teeth and serve as anchors for the appliance, while brackets are usually fixed to the front of the teeth.

Wires in the shape of an arch pass through the brackets and are fixed to the bands. As the arch wire is tightened, tension is applied to the teeth. Over time, this moves them into proper position. Follow-up involves monthly visits to adjust or tighten the braces. Treatment may last from several months to 2-3 years.

Aligners: This alternative to braces may be useful for adults and are removable. They are virtually unnoticeable by other people, and they can be removed to brush the teeth, floss, or eat. Several sets of specially moulded aligners are made from hard clear sheets which are different for each patient according to individual requirements. An aligner is used for 2 to 3 weeks, then changed for another one. The aligners should be worn for 22 to 23 hours a day for the best results.

Fixed-Space Maintainers

If there is an early loss of a baby tooth, a space maintainer is given to prevent migration of two teeth at either side of space into it until the adult tooth comes through. A band is fixed to one of the teeth next to the space, and a wire goes from the band to the other tooth to maintain the space.

Removable space maintainers
These are an alternative to fixed-space maintainers.
Special fixed appliances are used to control tongue thrusting or thumb sucking habit.

Removable Orthodontic Appliances

These may be used to treat minor problems, such as preventing thumb sucking or correcting slightly crooked teeth.The appliance should only be taken out when cleaning, eating, or flossing. Sometimes, the orthodontist may advice the patient to remove them during certain activities, such as playing a wind instrument or cycling.

Examples of removable appliances include:

  • Lip and Cheek Bumpers: These are specially made to relieve the pressure of cheeks or lips on the teeth.
  • Palatal Expander: This appliance is designed to make the arch of the upper jaw wider. It consists of a plastic plate with screws that is placed on the palate, or roof of the mouth. The screws put pressure on the joints in the bones, forcing them outward. This expands the size of the area in the roof of mouth.
  • Retainers:
    These are used after treatment to stop the teeth from moving back to their original positions. If modified, they may also be used to stop children from sucking their thumbs. These can be
  • Removable
  • Fixed

 

There are two types of Removable Retainer:

A Hawley retainer is made of metal and acrylic. The acrylic fits on the roof of the mouth and the wire surrounds the anterior teeth.

The other is made of clear plastic. It fits over the teeth and looks like an aligner.

Fixed retainers are glued, or bonded, to the back of the teeth. It is usually recommended for lower anterior teeth because of the high risk of reverting back to their former position. In some cases, orthodontists recommend both a fixed permanent one on the lower anterior teeth and the clear plastic aligner-type which then would fit over the entire lower arch.

Splints, or jaw repositioning appliances

These are placed either in the upper or lower jaw. They help the jaw to close properly Splints are commonly used for temporomandibular joint disorder (TMJ). TMJ is a condition that can cause pain and dysfunction in the muscles that are involve in jaw movement.

Whatever your device or treatment, it is important to follow both the health professional’s instructions and oral hygiene guidelines with care, to ensure the best outcome.

Oral Health Care Maintenance During Orthodontic Treatment

It is important to have a regular dental check up by your dental team while you are having orthodontic treatment. You also need to take extra care of your teeth and mouth:

  • Clean your teeth carefully every day, including between your teeth where you can. Braces are delicate and you need to make sure you clean them properly. Your dental team will be able to show you the special techniques to use depending on the appliance you are wearing.
  • Cut down on how often you have sugary foods and drinks. Avoid snacks and drinks containing sugars, and fizzy drinks.
  • Avoid sticky and hard foods as they can damage braces.
  • Brush your teeth last thing at night and preferably after each meal during day.
  •  Use a mouthwash if you need to. Your dental team may recommend a stronger fluoride toothpaste, or perhaps a fluoride gel or mouth rinse, for you to use.
  • Special orthodontic toothbrushes are recommended.